INTERNÍ MEDICÍNA PRO PRAXI - VIII. konference ambulantních internistů - 28.–29. března 2013, Olomouc - page 14

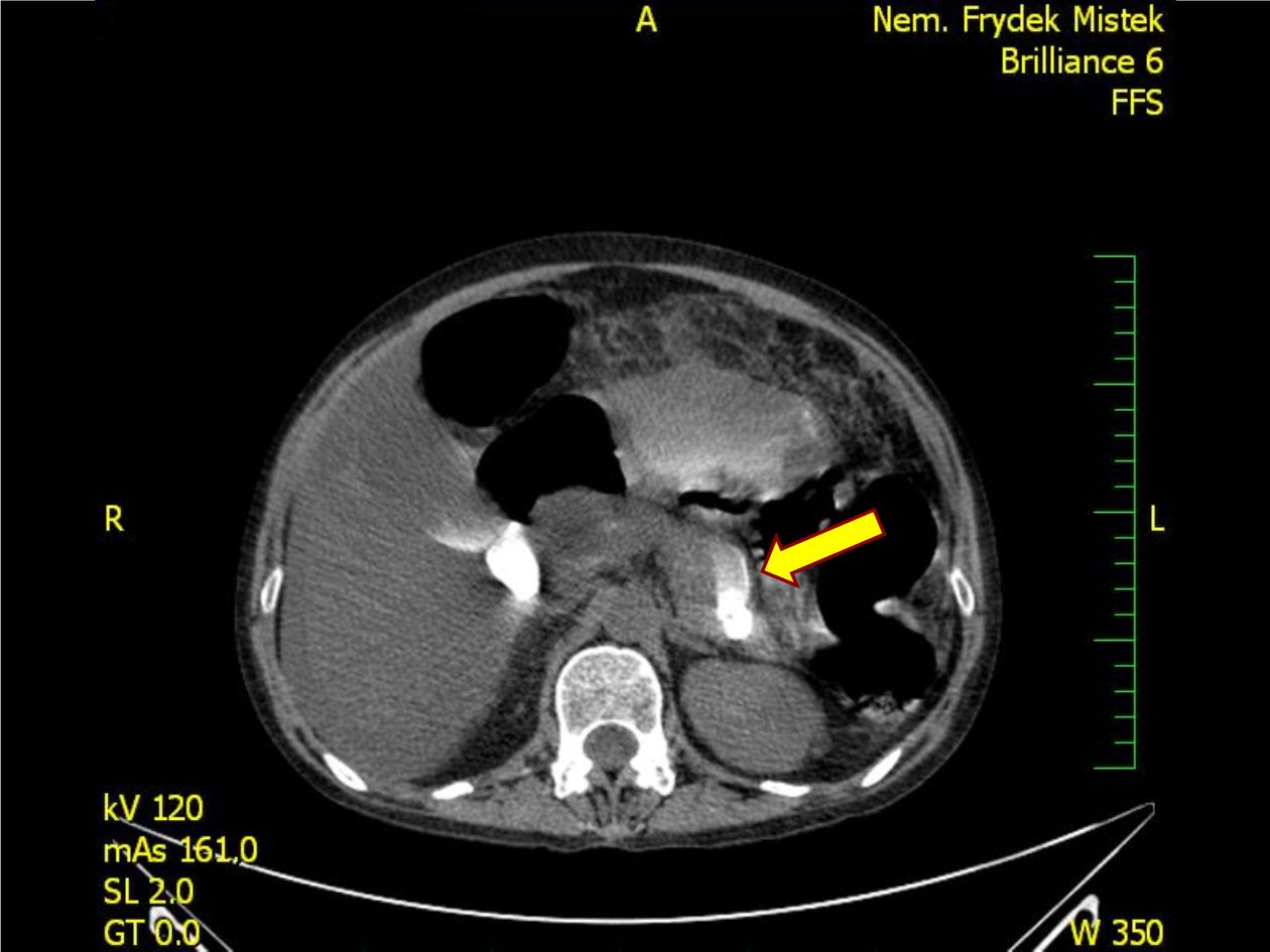
Pankreatický ascites!
1...,4,5,6,7,8,9,10,11,12,13 15,16,17,18,19,20,21,22,23,24,...33
Powered by FlippingBook